Be happy with
your smile
Book your FREE consultation today
Kents leading dental specialists In Herne Bay
Are you unhappy with your teeth or smile? You are not alone -One in four people (25%) in the UK hate their smile with a staggering 77% wanting to change their smile.
Warwick Lodge Dental and Implant Centre is where your smile is our priority. We offer both General and Cosmetic dentistry all in our state of the art practice where all treatment is under one roof, without any need for additional referrals or travel.
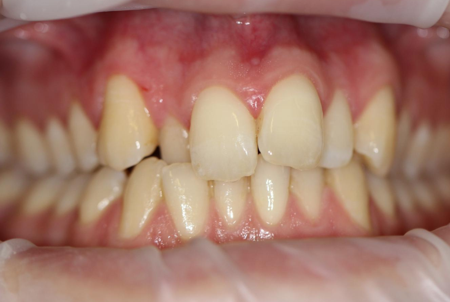
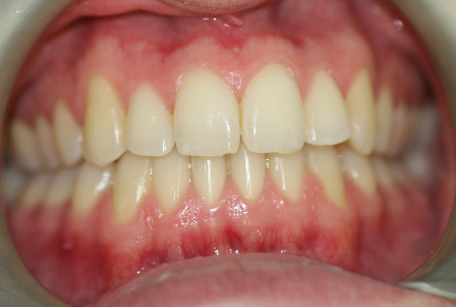
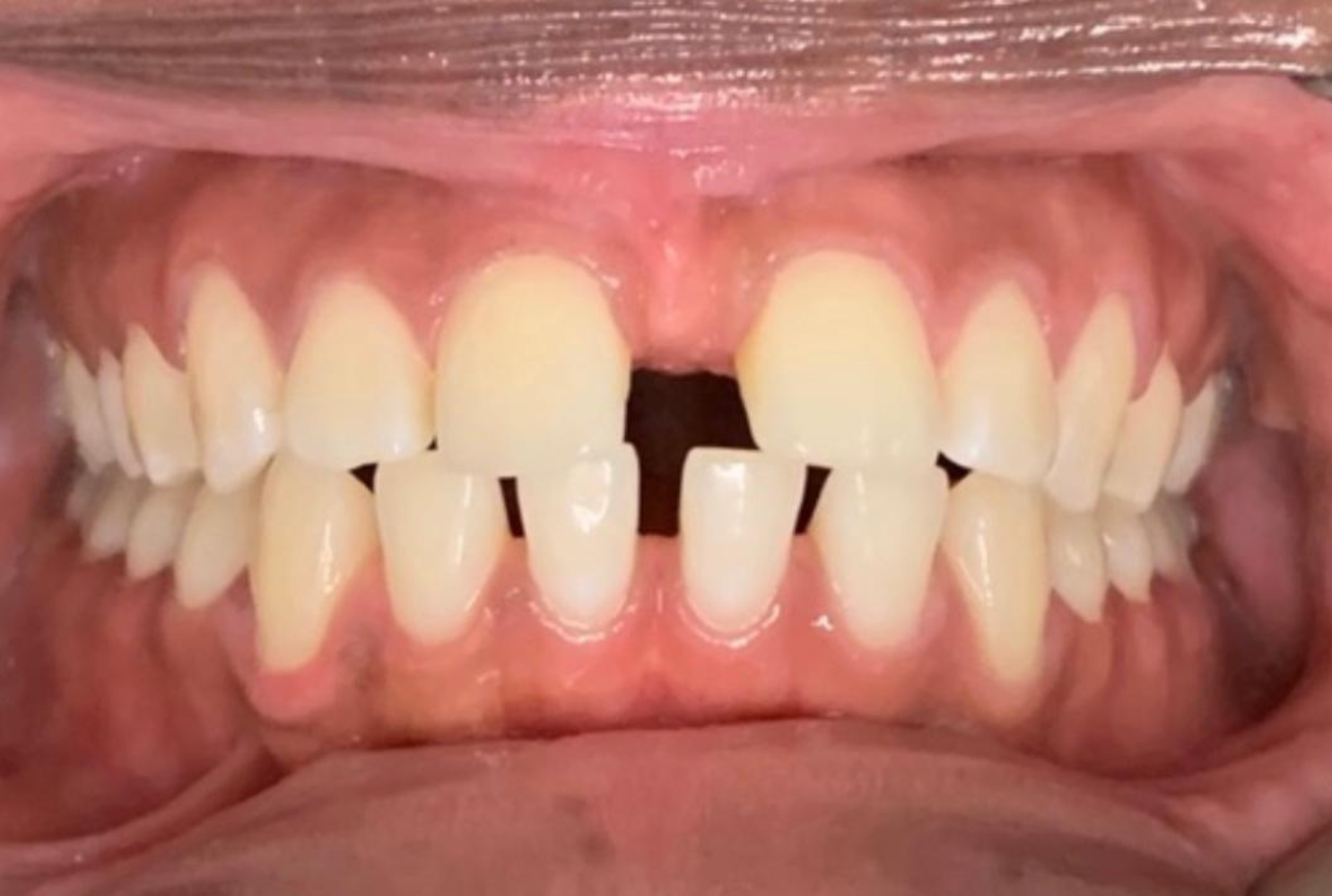
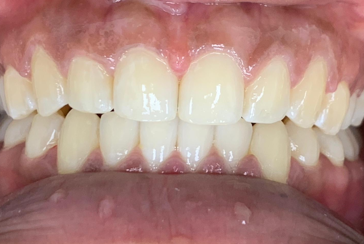
See the Before & After smiles of our patients


Invisalign


Invisalign


Invisalign


Invisalign


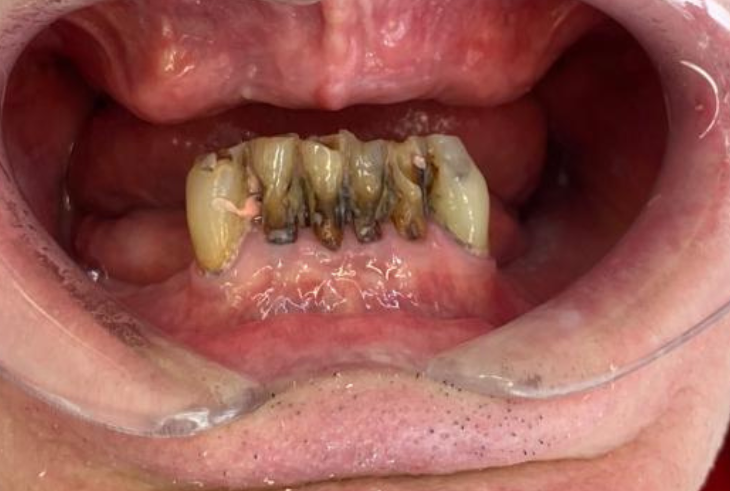
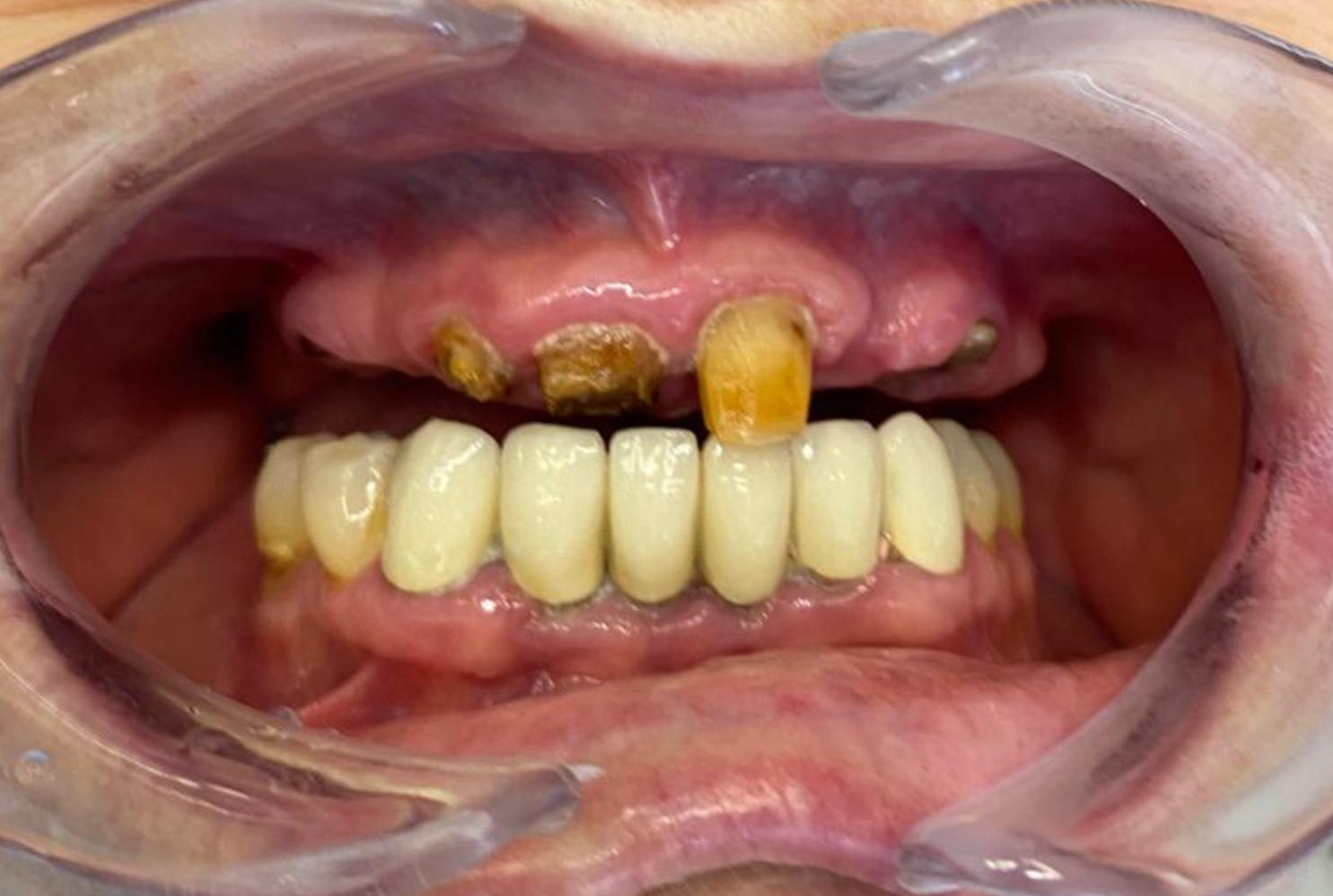
All on 4 Dental Implants


All on 4 Dental Implants


All on 4 Dental Implants


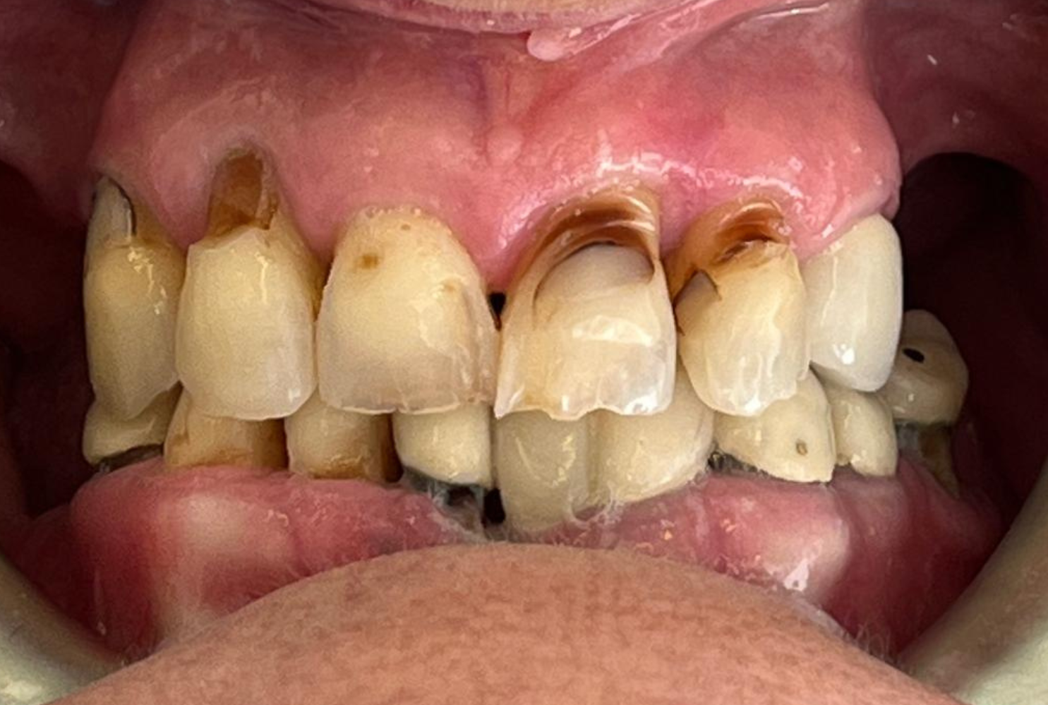
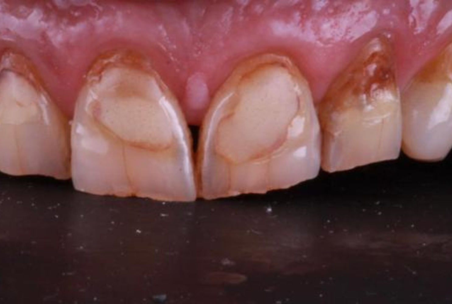
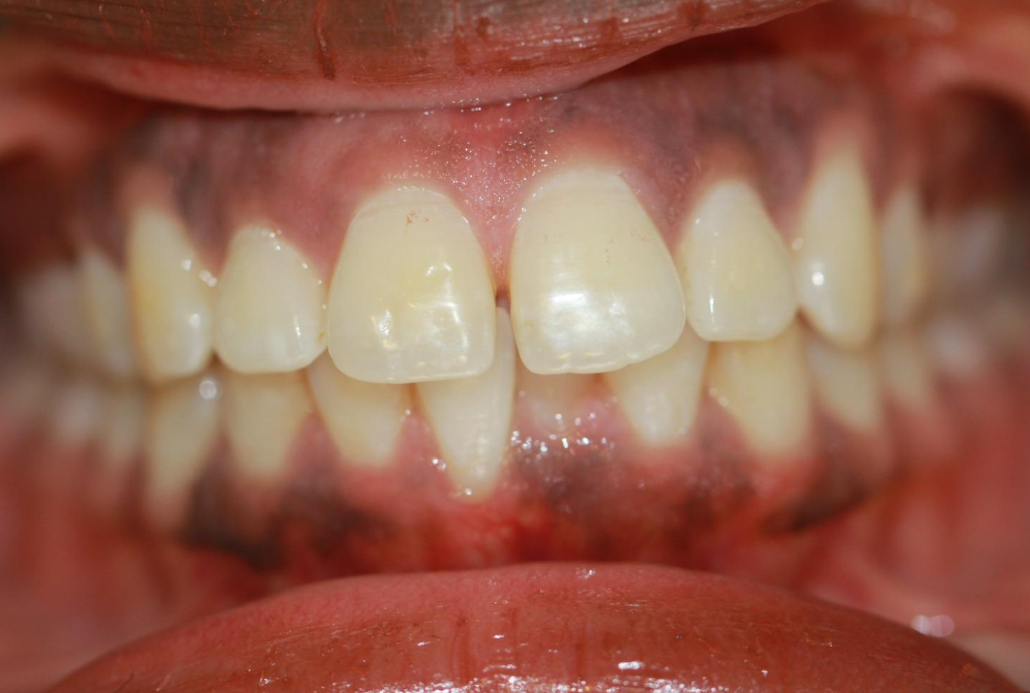
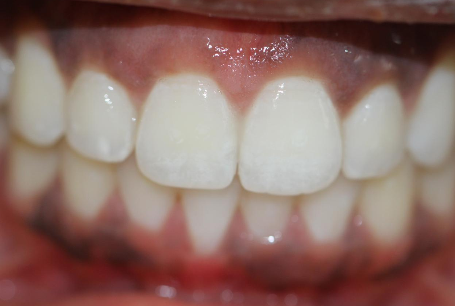
Crown/ veneer combination


Composite bonding


Crowns


Composite bonding
Why come to Warwick Lodge?
Experienced Dentists
Our dentists have years of experiance. Specialist Invisalign and Dental Implant dental surgeons.
Professional & Friendly Staff
Our staff are always on hand to help you and answer any questions you may have about your treatment.
Finance available from 0%
Need finance for treatment? no problem, just ask at reception and finance is available from 0%
Patient plan
For regular exams and hygiene, join our patient plan. Includes other benefits – please ask at reception.
Diamond Invisalign provider
We are a Diamond Invisalign provider, meaning we are one of the top 1% in the country.

